Stomatologie

Vstupní vyšetření

Komplexní vstupní vyšetření včetně zhotovení RTG snímků a stanovení léčebného plánu.

Dentální hygiena

Profesionální péče zahrnující odstranění zubního kamene, leštění zubů, bělení a poradenství pro správnou ústní hygienu.

Záchovná stomatologie

Léčba zubního kazu a jeho komplikací, preventivní prohlídky a estetické korekce pomocí fotokompozitních výplní.

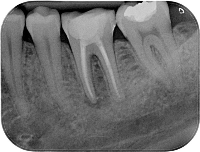
Endodontické ošetření

Ošetření kořenového systému zubu s cílem jeho zachování v dutině ústní jako funkční jednotky.

Protetická stomatologie

Široké spektrum protetických řešení včetně celokeramických korunek ze zirkonoxidu či lithiumdisilikátu, inlayí, overlayí a celokeramických fazet.

Stomatochirurgie

Jednoduché i komplikované extrakce, chirurgické odstranění zubů moudrosti, osteoplastiky, zavádění nitrokostních implantátů pomocí navigované implantologie a doplňování chybějících kostí.

Vstupní vyšetření – první návštěva pacienta je věnována vstupnímu vyšetření. Slouží k získání dostatečného množství informací o Vašem zubním zdraví a k sestavení komplexního léčebného plánu. Vstupní vyšetření se skládá z anamnestického dotazníku, důkladného klinického vyšetření, RTG vyšetření (intraorální snímky + CBCT) a fotografické dokumentace. Léčebný plán je následně s pacientem konzultován a pečlivě vysvětlen.

Hrazeno ZP, délka zákroku 45-60min.

Dentální hygiena – zahrnuje šetrné odstranění plaku, pigmentací a zubního kamene pomocí technologie EMS Prophylaxis Master, leštění zubů, fluoridaci, instruktáž správné techniky čištění i výběr individuálně vhodných pomůcek pro domácí péči. Ošetření je bezbolestné, efektivní a zanechává zuby hladké a dokonale čisté.

Preventivní prohlídka – základ péče o zubní zdraví tvoří preventivní prohlídky. Prevence je soubor opatření, jejichž cílem je zabránit vzniku patologie, případně její včasné odhalení a předcházení komplikací. Preventivní prohlídka se skládá z klinického vyšetření a RTG vyšetření. Každý pacient by měl prevenci absolvovat 1x ročně, dentální hygienu 2x ročně.

Hrazeno ZP, délka zákroku 15-30min.

Ošetření zubního kazu – zubní výplň patří vůbec k nejčastějším zákrokům ve stomatologické praxi. Cílem je důsledné odstranění kazivého ložiska a anatomická, funkční a estetická rekonstrukce zubu. Ošetření je prováděno v lokální anestezii a za použití kofferdamu, latexové blány, která umožňuje eliminovat vlhkost a vytvořit spolehlivé spojení zubu s výplní. Naše výplně jsou vícevrstevné, což snižuje samotné pnutí, s tím spojené riziko fraktury a selhání ošetření.

Cena 3500 – 4500Kč, délka zákroku 45-90min.

Endodontické ošetření / reendodontické ošetření – je jediná možnost, jak zachovat zub v dutině ústní jako funkční jednotku v případě nevratného poškození zubního nervu kazem, úrazem či jinou patologií. Spočívá ve správné mechanicko-chemické dezinfekci kořenového systému zubu, zaplnění jednotlivých kanálků hermetickou výplní a adhezivní dostavbě. K dosažení vysoké přesnosti a úspěšnosti používáme špičkové přístroje a techniky, jako zubní mikroskop, strojovou endodoncii, biokeramické materiály či sklovláknové (FRC) čepy.

Cena od 7500 Kč, délka zákroku 90–150 minut.

 

Celoplášťová korunka – v případě rozsáhlé ztráty tvrdých zubních tkání slouží korunky k obnovení anatomie, funkce a estetiky. Díky ochranné funkci korunky dochází k rovnoměrnému přenosu žvýkacího tlaku a snížení rizika fraktury zubu. Mezi běžné typy používaných korunek v naší ordinaci patří zejména zirkonoxidové a lithiumdisilikátové korunky. Oba typy patří mezi celokeramické korunky, zajišťující nejenom perfektní estetický výsledek, ale také velmi dobrou mechanickou odolnost.

Cena od 11 000Kč, délka zákroku 60-90min.

Celokeramické fazety – tenké keramické slupičky, jejichž úkolem je zejména estetická rehabilitace úsměvu. Preparace zubu je minimální a měla by vždy končit ve sklovině, pokud daná situace takový rozsah ztráty tvrdých zubních tkání umožňuje. Fazety slouží ke korekci diskolorací, tvarů zubů, mezer a podobně. Často v rozsahu od špičáku ke špičáku.

Cena od 12000Kč, délka zákroku individuální.

Injection Moulding Technique  – korekce tvaru, postavení, výšky zubů pomocí přímého vstřikování kompozitního materiálu do silikonového klíče vytvořeného dle digitálního předtvaru zubů. Alternativa keramických fazet s terapeutickým využití při zvyšování / obnově výšky skusu.

Cena od 7000Kč/zub.

Inlay/overlay (polokorunky) – často používané řešení, pokud došlo k rozsáhlejší ztrátě tkání zubu. Dle rozsahu nahrazují jeden až všechny hrbolky zubu. Zhotoveny mohou být přímo v ordinaci nebo nepřímou cestou přes zubní laboratoř.

Cena od 11000 Kč, délka ošetření 120min.

Zubní můstek – je možným řešením ztráty zubu/zubů. Zlatým standardem u rozsáhlých prací je můstek metalokeramický. U menších tříčlenných můstku je pak možné použít celokeramický zikronoxidový můstek. Celá konstrukce je kotvena na pilířových zubech a přemostění (náhrada defektu) zajišťuje mezičlen. 

Cena od 20 000Kč, délka ošetření individuální.

Navigovaná neboli řízená implantologie je přesné plánování umístění implantátu dle anatomie čelisti pacienta tak, aby byl výkon dokonale šetrný a nedošlo k zasažení nervů či jiným komplikacím v kostní tkáni. Zjednodušeně řečeno se jedná o zavádění implantátů pomocí šablony, která vede vrták v předem naplánované trajektorii. Minimalizují se rizika a zvyšuje se prediktabilita výkonu. Mezi další výhody patří výrazné zkrácení času ošetření a následné rekonvalescence.

Systém navigované implantologie vyžaduje skeny čelistí a CBCT sken, který slouží jako základ pro naplánování pozic implantátů dle nabídky kosti. Jedná se o velmi moderní a unikátní technologii, která představuje výrazný přínos a pomoc pro práci zubního lékaře, a my jsme velice rádi, že můžeme tuto techniku našim pacientům nabídnout.

Cena od 18 000Kč, délka ošetření individuální

Chirurgické extrakce zubů moudrosti

Cena od 4 000Kč, délka ošetření individuální

 

Komplikovaná extrakce s kolagenem a suturou

Cena od 3 500Kč, délka ošetření individuální

 

 

Ordinační doba:

Pondělí  |  7:30 - 19:00

Úterý |  7:30 - 19:00

Středa  |  7:30 - 15:30

Čtvrtek  |  7:30 - 15:30

Pátek |  7:30 - 17:00

Zavolejte nám

+420 732 699 342

Kontakt

Jankovcova 14a, Praha 7, Holešovice, 2. patro

IČO 09763902

2026 MT Dentist s.r.o. Všechna práva vyhrazena.